
✅ 사랑니 발치 전 체크해야 할 사항
1. 사랑니 상태 확인
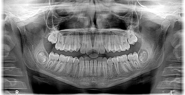
사랑니는 똑바로 나기도 하지만, 잇몸 속에 묻혀 있거나 옆으로 누워있는 경우도 많습니다. 치과에서 엑스레이 촬영을 통해 다음과 같은 상태를 확인해야 합니다.
- 완전 맹출: 똑바로 나와서 씹는 기능을 하지만 충치 위험이 있는 경우
- 부분 매복: 일부만 나와 있어 음식물이 끼기 쉽고 염증 위험이 높은 경우
- 완전 매복: 잇몸 아래 깊이 묻혀 있고 주변 치아를 밀거나 신경과 가까운 경우
사랑니가 정상적으로 기능하면 꼭 뽑지 않아도 되지만, 충치나 염증이 발생하면 발치를 고려해야 합니다.
2. 발치 비용 및 보험 적용 여부
사랑니 발치 비용은 병원과 난이도에 따라 다르며, 다음과 같은 요소에 따라 결정됩니다.
- 일반 발치: 1개당 약 1~3만 원 (보험 적용 가능)
- 난이도 높은 발치: 1개당 약 5~10만 원 (부분 매복 시 비용 상승)
- 대학병원 수술: 1개당 10~30만 원 (완전 매복 및 신경 가까운 경우)
건강보험이 적용되면 일반적인 사랑니 발치는 비용 부담이 크지 않지만, 신경과 가까운 위치나 복잡한 수술이 필요할 경우 추가 비용이 발생할 수 있습니다.
3. 어떤 병원에서 뽑아야 할까?
사랑니 발치는 개인 치과, 구강외과 전문 병원, 대학병원 등에서 받을 수 있습니다. 각 병원의 장단점을 비교해 보세요.
- 동네 치과: 비용이 저렴하고 빠르게 치료 가능하지만, 난이도 높은 발치는 어려울 수 있음.
- 구강외과 전문 병원: 발치 경험이 많아 안전하지만, 비용이 조금 더 높을 수 있음.
- 대학병원: 신경과 가까운 사랑니, 매복된 사랑니 발치에 적합하지만, 예약이 어렵고 비용이 높음.
본인의 사랑니 상태에 따라 적절한 병원을 선택하는 것이 중요합니다.
🚨 사랑니 발치 시 주의해야 할 부작용
1. 발치 후 통증 및 붓기
사랑니 발치 후에는 어느 정도 통증과 붓기가 발생할 수 있습니다. 보통 2~3일 정도 지속되며, 냉찜질과 진통제 복용으로 조절 가능합니다.
2. 드라이 소켓 (Dry Socket)
발치 후 피딱지가 제대로 형성되지 않으면 뼈가 노출되면서 극심한 통증이 발생할 수 있습니다. 이를 방지하려면 다음을 주의해야 합니다.
- 빨대로 음료를 마시지 않기
- 흡연, 음주 삼가기
- 발치 후 24시간 동안 양치질 시 주의하기
3. 신경 손상 위험
아래턱 사랑니가 신경과 가까운 경우 드물지만 감각 이상이 발생할 수 있습니다. 이러한 위험을 줄이기 위해 반드시 엑스레이나 CT 촬영을 통해 신경과의 거리를 확인하세요.
4. 출혈 및 감염
발치 후 2~3일 동안은 출혈이 있을 수 있으며, 감염을 예방하기 위해 항생제를 처방받아 복용하는 것이 좋습니다.
📌 사랑니 발치 전 꼭 기억하세요!
- 엑스레이 촬영을 통해 사랑니 상태를 정확히 확인하기
- 발치 비용 및 보험 적용 여부 미리 체크하기
- 일반 치과 vs 구강외과 vs 대학병원 중 본인에게 맞는 병원 선택하기
- 발치 후 주의사항(흡연, 음주, 빨대 사용 금지) 숙지하기